Skip to main content
Skip to main navigation menu
Skip to site footer
Open Menu
Current
Archives
Announcements
Submissions
About
About the Journal
Editorial Team
Abstracting and Indexing
Author Guidelines
Privacy Statement
Editorial Policies
Peer Review Process
Data Sharing Policy
Policies on Conflict of Interest, Human and Animal rights, and Informed Consent
Advertising Policy
Corrections, Expressions of Concern and Retractions
Contact
Search
Register
Login
Home
/
Archives
/
Vol. 19 No. 7 (2025)
Vol. 19 No. 7 (2025)
Published:
2025-07-31
Neuroradiology
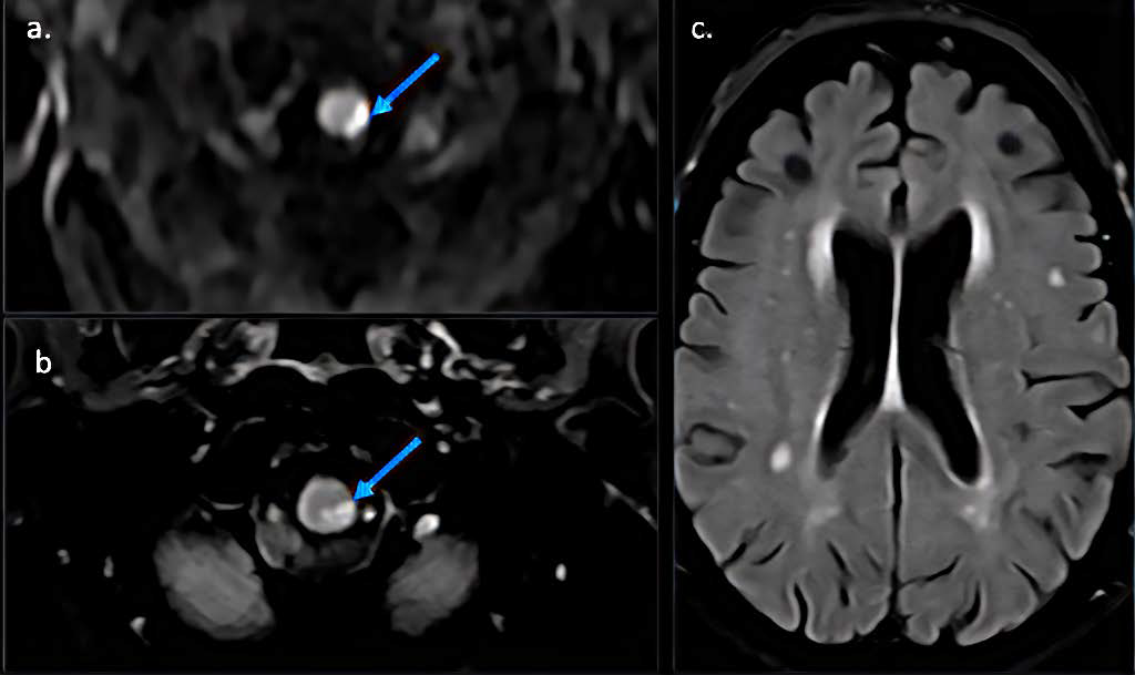
A Case of Listeria Rhomboencephalitis with Misleading Imaging Presentation and Laboratory Findings
Adrien De Minteguiaga, Anna Paola Bocchio, MD, Valeria Onofrj, MD
1-6
PDF
Musculoskeletal Radiology
Osteoid Osteoma of the Joint Capsule: A Case Report Highlighting Diagnostic Challenges and the Role of Advanced Imaging
Nadeer M. Gharaibeh, Hissein M. Fadoul, Areej H. Al-Sarairah, Gang Wu , Xiaoming Li
1-7
PDF
Gastrointestinal Radiology
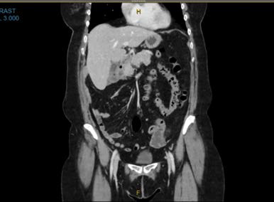
Pancreatic Transplant Jejunitis Complication: A Case Report
Ishan Gupta, Zachary Schmidt, Evelyn Kue, Imtiaz Ahmed, MD
1-7
PDF
A Rare Case of Intestinal Malrotation in an adult Female and its Management
Vigneshkumar Palanisamy, Marie Sim Johnston, Abdallah Elsabagh
1-8
PDF
Thoracic Radiology
Leiomyosarcoma of the Mediastinum Depicted on CT Images: A Rare Origin Case and Literature Review
Yuanyuan Wang, Zhaochu Chen, Jianqun Yu
1-7
PDF
Information
For Readers
For Authors
For Librarians
Side
Key Features
Open access
Free submission
Double-blinded peer-review
International authors, reviewers and editors
Unique interactive case reports and pictorial review articles
Indexed in
Index Copernicus
,
OAIster
,
Google Scholar
,
Scopus
, Embase, ESCI-Web of Science etc.
Affiliation with and article promotion by the largest international Radiology community
Radiolopolis
Announcements
Developed By
Open Journal Systems